Plus de 30.000 cas de tuberculose au Maroc en 2016
Un total de 31.542 cas de tuberculose, toutes formes confondues, ont été enregistrés au Maroc durant l'année 2016, a indiqué le ministère de la Santé dans un communiqué.
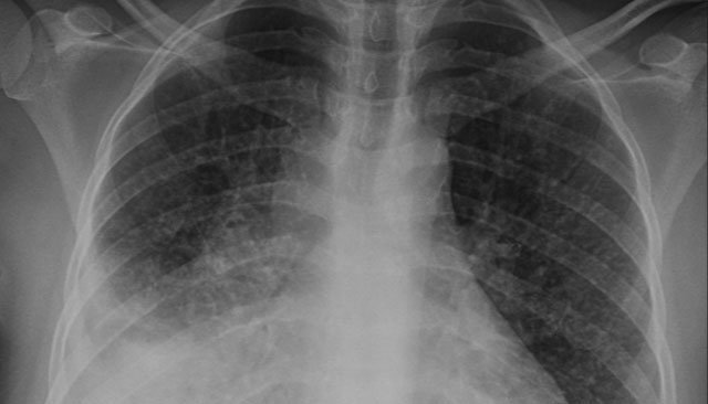
Le poumon est le lieu privilégié de la tuberculeuse, représentant ainsi près de la moitié des cas enregistrés, soit 47% des tuberculoses pulmonaires contre 53% des localisations extra-pulmonaires, a précisé le ministère à l'occasion de la journée mondiale de la tuberculose.
Au Maroc, la tuberculose est plus fréquente chez l’homme que chez la femme. Les personnes âgées entre 15 et 45 sont les plus touchées, soit 63%.
Selon les données du ministère, 87% des cas ont été rapportés par six régions, correspondant à 78% de la population nationale. Il s’agit des régions de Casablanca-Settat, Rabat-Salé-Kénitra, Tanger-Tétouan-Al Hoceima, Fès-Meknès, Marrakech-Safi et Souss-Massa.
L’analyse de la situation épidémiologique de la tuberculose et de sa dynamique au Maroc confirme l’influence importante des déterminants socio-économiques sur l’incidence de cette maladie. Etant intimement liée à la pauvreté, à la précarité, à la malnutrition, à l’habitat insalubre et à la promiscuité, la tuberculose est fortement concentrée au niveau des zones périurbaines des grandes agglomérations.
Encore du chemin à faire
Bien que l’incidence estimée par l’OMS ait baissé d’une moyenne annuelle de 1,1% entre 1990 et 2015, cette baisse reste lente et en deçà des aspirations, tant les déterminants de la maladie sont multiples et se rapportent essentiellement aux conditions socio-économiques.
De ce fait, les actions à entreprendre, en vue de réduire significativement l’incidence de la maladie, doivent dépasser le domaine médical pour cibler ces déterminants, dans le cadre d’efforts conjugués des départements ministériels concernés, des collectivités territoriales et de la société civile.
Le communiqué du ministère fait savoir que le plan stratégique national de lutte antituberculeuse 2017-2021 est en cours de finalisation.
Parmi ses objectifs stratégiques figurent la réduction du nombre de décès liés à la tuberculose de 40% en 2021 par rapport à l’année 2015, l’augmentation du nombre annuel de cas détectés à 36.300 à l’horizon de 2021 et la réalisation d’un taux de succès thérapeutique d’au moins 90% à partir de 2018.
Le ministère note, par ailleurs, l’augmentation significative du budget annuel alloué au Programme national de lutte antituberculeuse (PNLAT), qui est passé de 30 millions de DH en 2012 à 60 millions en 2016, en plus de l’appui financier du fonds mondial de lutte contre le sida, la tuberculose et le paludisme chiffré à prés de 85 millions de DH sur la période 2012-2017.
Cela a permis de réaménager les centres de diagnostic de la tuberculose et des maladies respiratoires, de les équiper en appareils numériques de radiologie et en technologie de pointe basée sur la biologie moléculaire, tout en assurant la gratuité de toutes les prestations sanitaires à tous les patients tuberculeux.
A l'occasion de cette journée, le ministère lance la quatrième compagne nationale de dépistage de la tuberculose. Cette compagne, qui se déroulera du 27 mars au 28 avril 2017, vise à renforcer le diagnostic précoce de la tuberculose et assurer l’accès au traitement aux groupes de populations à haut risque.
à lire aussi
Article : Au-delà du bilan Akhannouch, lecture des indicateurs du marché du travail
Sous le gouvernement Akhannouch, le marché de l’emploi reste le principal point de fragilité de l’économie. Ce problème est ancien mais s’aggrave au fil du temps. Médias24 confronte les engagements du gouvernement à ses réalisations et analyse, au-delà du mandat, plusieurs indicateurs du marché du travail sur une longue période.
Article : Secteur minier. Après une année 2025 record, 2026 s'annonce déjà comme un cru très prometteur
2025 restera comme un millésime d'exception pour les mines marocaines. Cours au plus haut, volumes en hausse, nouveaux projets en maturation... Le secteur profite pleinement d'un cycle mondial porteur. Et 2026 s'annonce tout aussi favorable, sous l'effet de plusieurs signes.
Article : Ordre des experts-comptables. Élections sur fond de réflexion sur l’ouverture du capital
Le 21 mai 2026, les experts-comptables élisent les membres du Conseil national et des conseils régionaux de leur Ordre pour les trois prochaines années. Au-delà de ce renouvellement, la profession réfléchit à faire évoluer son cadre, notamment sur la question de l’ouverture du capital des cabinets. Détails.
Article : Le trafic aérien en hausse de 11,15% à fin mars 2026
L'Office national des aéroports (ONDA) a annoncé que le trafic aérien commercial dans les aéroports du Royaume a enregistré 8.913.041 passagers à fin mars 2026, soit une croissance de 11,15% par rapport à la même période de l'année précédente.
Article : Mondial 2026. Le double pivot, pierre angulaire du projet Ouahbi
Les deux milieux de terrain devant la défense constituent l’élément central du dispositif tactique du sélectionneur national. Un principe qui assure l’équilibre des Lions de l’Atlas, conditionne la récupération du ballon et la première phase de construction. Mais qui n’est pas sans risque.
Article : SIAM 2026 : malgré un taux de couverture de 60%, 450 communes rurales restent exclues des services financiers selon Bank Al-Maghrib
À Meknès, le directeur général de Bank Al-Maghrib, Abderrahim Bouazza a indiqué que 450 communes rurales restent sans services financiers malgré une couverture de 60%. Il a aussi annoncé l’équipement de 50 coopératives en TPE et rappelé que 25% des programmes d’éducation financière ont ciblé le monde rural.
